„Połykaczka” narkotyków zatrzymana na warszawskim lotnisku. W żołądku miała 80 kapsułek z kokainą
Podróżną usiłującą przemycić 0,7 kg kokainy, zatrzymali 22 stycznia 2017 r. na warszawskim Lotnisku Chopina mazowieccy funkcjonariusze celni. Narkotyki próbowała przemycić w żołądku 28-letnia obywatelka Wenezueli, która przyleciała z Sao Paulo przez Zurich.
- Fot. Izba Celna Warszawa
- Fot. Izba Celna Warszawa
- Fot. Izba Celna Warszawa
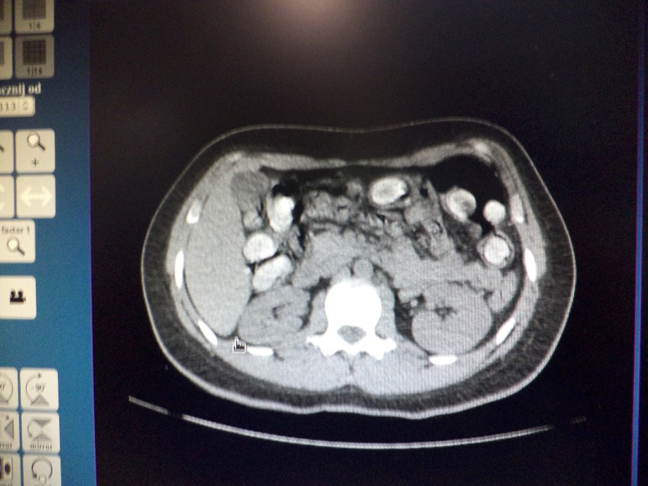
Podróżna została skierowana przez funkcjonariuszy Wydziału Zwalczania Przestępczości Izby Celnej w Warszawie do kontroli celnej z przejścia „nic do zgłoszenia” (tzw. zielonej linii). Zważywszy na czas trwania podróży i przede wszystkim jej kierunek, podróżna została poddana wstępnym testom na obecność narkotyków w ślinie, następnie w moczu. Mimo niejednoznacznego wyniku narkotestów, podjęto decyzję o przewiezieniu podróżnej do szpitala, celem przeprowadzenia badania lekarskiego na obecność narkotyków w organizmie. Wykonane w szpitalu badanie tomografii komputerowej przewodu pokarmowego, potwierdziło podejrzenia funkcjonariuszy celnych, że narkotyki przemycane są wewnątrz organizmu. Podróżna zatrzymana została w szpitalu, celem wydalenia kapsułek z narkotykiem.
Przemycana w żołądku kokaina zapakowana była w 80 kapsułek o łącznej wadze 0,75 kg. Wewnątrz każdej znajdowało się około 9 g narkotyku.
Czarnorynkowa wartość przemycanych narkotyków to blisko 700 tys. złotych. W detalu, z takiej ilości narkotyków przy założeniu 100% czystości, można by wyprodukować nawet 4 tys. „działek”.
Sprawę prowadzi Referat Dochodzeniowo-Śledczy Izby Celnej w Warszawie pod nadzorem Prokuratury Rejonowej Warszawa-Ochota. Podróżna usłyszała zarzuty, natomiast sąd wydał postanowienie w przedmiocie tymczasowego aresztu na okres trzech miesięcy.
Za próbę przemytu narkotyków, podróżnej przemytniczce grozi do 15 lat pozbawienia wolności.
Dotychczasowy „rekordzista połykacz”, usiłował przemycić w żołądku 2,7 kg narkotyków.
Redaktor naczelny portalu. Absolwent Dziennikarstwa i Nauk Politycznych Uniwersytetu Warszawskiego.


